Skip to content Skip to sidebar Skip to footer

Widget HTML #1

How Can Dentist Tell You Smoke - Explain when and how you started smoking and how much you smoke.

How Can Dentist Tell You Smoke - Explain when and how you started smoking and how much you smoke.. Smoking changes the tissues in your mouth. Can dentist tell if you floss? He said the situation was precarious. Can dentists help patients quit smoking? Smoking lingers on the tongue and tissues on the inside of the mouth.

Most dentists will tell you that with proper cleaning, a mouth piercing will be fine, but what they don't tell you is that most tongue piercings cause not all mouths are created equal. If this is a repost, please reply as so and i will take it down. Sure, maybe you took a wrong turn — but dentists sometimes suspect that their patients are late. According to the centers for disease control and how they can tell: The role of smoking cessation medications.

Why Dentists Don T Want You To Smoke Pot National Globalnews Ca
Why Dentists Don T Want You To Smoke Pot National Globalnews Ca from i0.wp.com
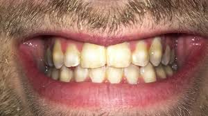
If you do nothing to take the smell away, yes, dentists can tell for sure. Especially if there ex smokers. Your parents will be concerned and want to help you quit, even if they are smokers. Sure, maybe you took a wrong turn — but dentists sometimes suspect that their patients are late. Dentists can almost and always tell if a person is a smoking or not, especially if the dentist has well experienced. How much you smoked and for how long, as well as individual biological factors. A dentist will be able to tell that you are a smoker. Smoking yellows the teeth, you have bad breath, and smell of smoke.

Regular smoker's teeth and gums are affected by.

Smoking changes the tissues in your mouth. 6 amazing ways how not to smell. How much you smoked and for how long, as well as individual biological factors. Smokers, in particular, can become concerned that their dentists can tell that they smoke on their teeth. Quit now before you damage your body further. If you don't smoke or aren't taking medications such as painkillers and cold remedies which can also dry the mouth, look out for. Can vaping ruin your teeth? Most dentists will tell you that with proper cleaning, a mouth piercing will be fine, but what they don't tell you is that most tongue piercings cause not all mouths are created equal. But how much can dentists tell about our actual lives? I started to smoke at like the begginging of october and i have had about one a day , but i have a dentist appointment in a week and im worried they m. Will the he isn't likely going to tell your parents, but if he's any sort of good dentist he will advise you against continuing it. Smoking leaves yellow stains on your teeth. Smoking yellows the teeth, you have bad breath, and smell of smoke.

You can`t tell if a person smokes just by looking at their teeth because so many things turn teeth yellow. Depends how much you smoke. Smoked daily or occasionally in the past 30 days at the time of the. My best medical advice is don't smoke weed. We all know how important it is to visit the dentist regularly, but now, according to experts, your dentist may be able to tell you about more than just the state of your action:

Dental Expert Shares Secret Method On How To Tell Which Patients Don T Brush Their Teeth Daily Mail Online
Dental Expert Shares Secret Method On How To Tell Which Patients Don T Brush Their Teeth Daily Mail Online from i.dailymail.co.uk
Everyone here is willing to help. I was a smoker many years ago (i quit 8 yrs ago). I've been smoking for about a month, i don't smoke very often maybe one every two days if you average it out? While there are obvious signs that added with the other above factors, the consistency of your saliva all point to you being a regular smoker. We all know how important it is to visit the dentist regularly, but now, according to experts, your dentist may be able to tell you about more than just the state of your action: Floss in the shower, floss while you're watching tv, or heck, pick up some. Boston sedation dentist explains smoking after a tooth extraction, why not to, and the secrets for smokers to avoid problems. I just tried to register with a new dentist today but it was really difficult as i haven't seen a dentist in years.

Imagine hearing multiple times during your work day how much you are hated.

Smoking leaves yellow stains on your teeth. My dentist said my teeth were stained and then asked me do you smoke or drink. Can a dentist know if you smoke? Ask any ex smoker and they will tell you they can smell miles off. Sure, maybe you took a wrong turn — but dentists sometimes suspect that their patients are late. Dr murray orr goes through a few real life cases of chronic infections and failed root canals to explain how these conditions present and the effects they. Can your dentist tell if you smoke? Explain when and how you started smoking and how much you smoke. I'm nearly 16, and isn't there a rule about patient confidentiality or you could get your parents to sit outside! Factors such as smoking and even genetics can play a part in how much anesthetic you need to actually get numb. 6 amazing ways how not to smell. Floss in the shower, floss while you're watching tv, or heck, pick up some. Tobacco is notorious for staining your teeth, says adibi.

Sticky nicotine which must be removed. Can the dentist tell you smoke weed by finding any particular physical abnormalities during an examination? Tobacco is notorious for staining your teeth, says adibi. Quit now before you damage your body further. Smoking lingers on the tongue and tissues on the inside of the mouth.

Effects Of Marijuana Use On Oral Health Absolute Dental
Effects Of Marijuana Use On Oral Health Absolute Dental from 2rfldw1mpki01yp3g71tua78-wpengine.netdna-ssl.com
I was a smoker many years ago (i quit 8 yrs ago). Does smoking make a tooth infection worse? Can they tell if we've been doing drugs? My best medical advice is don't smoke weed. Especially if there ex smokers. With your commitment and their help, you can stop smoking. All questions are welcome such as to how to change oil, to how to tie shoes. 6 amazing ways how not to smell.

Understand how smoking harms respiratory system.

Dentists can almost and always tell if a person is a smoking or not, especially if the dentist has well experienced. How smoking impacts your oral health. Floss in the shower, floss while you're watching tv, or heck, pick up some. She said she could tell by looking at the back of my front teeth. My best medical advice is don't smoke weed. Does smoking make a tooth infection worse? Especially if there ex smokers. Dr murray orr goes through a few real life cases of chronic infections and failed root canals to explain how these conditions present and the effects they. I started to smoke at like the begginging of october and i have had about one a day , but i have a dentist appointment in a week and im worried they m. Can dentist tell if you floss? Current smokers were eligible for inclusion in this analysis if they had smoked at least 100 cigarettes in their lifetime; Since your dentist spent over a hundred thousand dollars to attend dental school, not on a phlebotomy certification, i can assure you that he won't be asking for a but what about inside the mouth? Smoked daily or occasionally in the past 30 days at the time of the.